잇몸에 생긴 큰 물집, 단순히 신경치료로 해결될 문제가 아닙니다! 오산치과
반갑습니다, 이포유의 서성용 원장입니다.
이가 아프면 늦지 않게 내원하여
올바른 치료를 받는 것이 좋은 방법입니다.
구강 질환은 한번 발생하면
그 진행속도가 정말 빠르기 때문에
예방 또는 치료를 할 수 있을 때 발견하는 것이
자연치를 지킬 수 있는 방법이라 할 수 있죠.
오늘은 이와 관련된 진료 과정을 살펴보며
좀 더 자세한 설명을 드리겠습니다.
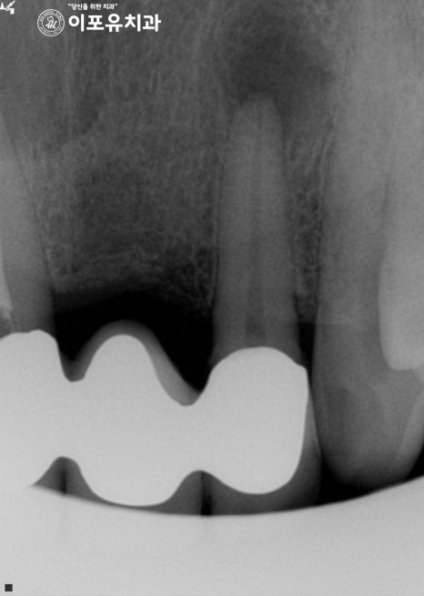
“전치부에 치아에 잡혀 있는 고름“

준비한 초진 사진을 살펴보면
굉장히 큰 크기의 병소가 관찰됩니다.

CT를 촬영하여 살펴보면
생각보다 큰 크기의 병소가 관찰됩니다.
아무래도 쉽지 않은 케이스로 보입니다.
단순히 신경치료를 한다 해서 해결될 문제가 아니라,
잇몸을 절개하여 농양을 없애야 되는 상황이었죠.
이렇게 잇몸에 있는 농양을 절개하여 없애는 과정은
‘구강외과’전문의에게 가는 것이
예후에 있어 좋은 방법이란 판단이 들었습니다.
* 그 이유에 대해 알아볼까요?
신경치료를 하는 것은 당연히 자신 있지만,
이분의 경우 단순히 그 문제만이 아니었습니다.
그래서 농양을 없애는 수술을 먼저 진행할지,
근관치료를 먼저 해야 될지 결정을 해야 되는데요.
이때 근관 세척 및 충전으로도 줄어들 크기가 아니라..
구강외과 전문의에게 가는 것이
올바른 판단이란 생각이 들었죠.
우선 대기 기간이 길기 때문에
중간중간 염증 크기 변화가 있는지
확인 및 소독을 진행해야 됩니다.

염증 소독을 꾸준히 진행해준다면
크기가 비정상적으로 커지거나 심해지진 않습니다.


신경치료가 마무리되어야
수술을 진행할 수 있기 때문에
하루빨리 근관치료를 하고 싶어 하는데요.
수술을 진행하기 전
신경치료를 먼저 진행하여 병소의 회복을 돕는것이 좋습니다.
이전 얘기가 너무 길었는데요.
이와 관련된 케이스는 속편으로
포스팅하여 설명드리도록 하겠습니다^^


