이포유치과에서 신경치료에 대해 설명드리겠습니다.
반갑습니다, 오늘은 이전 포스팅 속편으로 돌아온
이포유치과의 서성용 원장입니다.
지난번 글에서 오산신경치료 를 계획하고 끝이 났죠.
오늘은 이어지는 뒤 과정을
여러분들께 소개해 드리려 하는데요.
그전 의미와 진행 과정에 대해
간략히 알아보는 시간을 먼저 갖도록 하겠습니다.
“신경치료란?“
치아에 홀을 뚫고 내부 신경과 혈관이 들어있는
치수 조직을 제거하는 술식입니다.
이곳에 남아있는 병소와 조직을 제거한 뒤
빈 공간에 다른 재료로 채워 넣어
자연치 기능을 유지하는 보존 진료 중 하나죠.
“어떤 과정으로 진행되죠?”
우선 진료가 필요한 치아의 충치 및
염증 조직을 깨끗하게 제거한 뒤
내부까지 침범한 세균 및 염증을 청소해 줍니다.
이후 소독과정까지 마친 뒤에
비어있는 근관을 수복재로 채워 넣게 되는데요.
병소가 줄어들고 예후가 안정적인 것을 확인한 뒤
보철을 씌우는 크라운을 진행하면
모든 과정이 마무리 되게 됩니다.
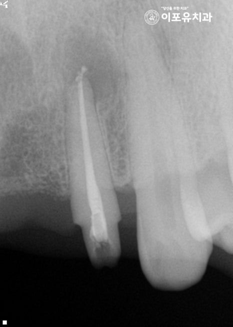
신경치료 과정
상악 전치부 주변에 고름이 잡혔기 때문에
이곳의 원인을 정확하게 찾은 뒤
신경치료 를 진행하는 것이 중요한데요.
고름이 퍼져 있는 길을 찾아보니
양쪽 두 번째 앞니에 퍼져 있는
염증을 확인할 수 있었습니다.
따라서 # 12 # 22 근관 세척 및 충전 과정을 진행하여
현재 나타난 제일 큰 문제를 개선하는 것이 좋습니다.


더불어 오른쪽 위 작은 어금니 한 곳에서도
심한 우식으로 인해 내부가 감염된 것을
확인할 수 있었는데요.
레진이나 보철만으로는 증상을 해결하기에
한계가 있을 것으로 판단이 들어
이곳도 함께 진료를 진행하는 것이 좋습니다.
잇몸 건강은 치아와도 직결되기 때문에
꼭 확인을 해야 되는 곳 중 하나죠.
이미 구강 내 출혈이 나타나거나
붓기와 부종이 생긴 곳들이 많았는데요.




신경치료 및 치주 진료까지 진행하여
전체적인 증상 개선을 하는 것이 좋습니다.




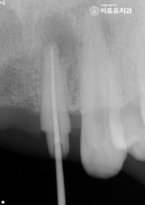
근관 내부를 깨끗하게 청소한 뒤
소독과정까지 확실하게 마쳐야 됩니다.
이후 충전재를 사용하여 뿌리 끝까지 밀폐하여
2차 감염의 확률을 줄여줍니다.
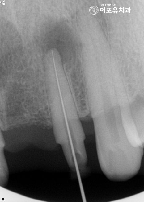
여기서 꼭 확인해야 될 것이 있습니다.
과정이 모두 끝났다 해서 다가 아닙니다.
꾸준한 추적 관찰을 통해 확실하게 사라졌는지
확인을 하는 것이 좋은 방법이죠.
병소의 크기를 추적 관찰하여
재발의 확률은 없는지, 증상이 나아지고 있는지
꼼꼼하게 확인을 도운 뒤 전치부는 임시 보철을 씌워
좀 더 지켜보기로 하였으며,
작은 어금니는 지르코니아 크라운을 씌워
과정을 마칠 수 있었습니다^^
몇 달이 지나면 이전에 임시 보철을 씌워뒀던
전치부 치아들을 다시 한번 확인해 줍니다.
다행히 별다른 문제 없이 회복이 잘 되고 있다면
최종 보철 제작을 통해
앞니의 심미성과 기능을 살려줘야 됩니다.

앞니는 눈에 잘 띄는 곳에 위치해 있어
심미성이 정말 중요할 수밖에 없습니다.
환자의 분위기, 성별, 연령 등
모든 요소들을 고려하여 색조를 선택해야 되고
실제 자연치와 유사한 형태를 만들어야 되죠.
쉐이드 가이드를 사용하여 색조 선택을 마친 뒤
브리지 형태의 보철을 제작하여
구강 내 세팅을 마무리합니다.

이전과는 달리 훨씬 건강해 보이고
튼튼한 앞니를 확인할 수 있네요.
“신경치료 과정 잘 보셨나요?“
다음 포스팅은 마지막 진료 과정인
임플란트 케이스를 소개해 드릴까 합니다^^
긴 글 읽어주셔서 감사합니다.
서성용 대표원장이었습니다.


